🎃 TRICK OR TREAT THURSDAYS THROUGHOUT OCTOBER 🎃
🎃 TRICK OR TREAT THURSDAYS THROUGHOUT OCTOBER 🎃

Hello there 👋
My name, I am a registered nurse with 9 years of Clinical experience and an A&E nursing background and a busy mum of 3 who loves all things self care.
I have combined my clinical skills with my love of self care to bring my little clinic to life!
It’s peaceful, professional, clean and my absolute happy place and my clients can always sense this from the moment they step foot through the door!
The Cosmetic Nurse clinic is purpose built based on Ise Lodge Deeble Road Kettering, Northants.
I hope to welcome you into the clinic soon,
Imogen

A cosmetic procedure that uses tiny needles to cause micro injuries on the skins surface. This in turn stimulates collagen and elastin production which we start to naturally loose as we age.
What can it be used for?
🔹Ageing skin, Fine lines & Wrinkles
🔹Scars such as Acne, Chicken Pox & Surgical
🔹Stretch Marks
🔹Skin tone & Enlarged pores
🔹Hyperpigmentation
🔹Sun Damage
🔹Collagen Deficiency
🔹Thinning hair
The best results are seen when Microneedling Sessions are carried out every 4-6 weeks.
FAQ.
DOES MICRONEEDLING HURT ?
Microneedling can cause mild discomfort but it’s generally not considered painful. Many describe the sensation as a mild pricking/vibrating sensation. As a practitioner I would always be checking in to ensure that the procedure is tolerable.
DOES MICRONEEDLING CAUSE BLEEDING?
Generally you may get one or two blood spots but no blood and gore like you see on social media or horror stories you hear. The correct needles and depth should be used, any practioner with good training will understand this ensuring there is no unnecessary skin damage.
Electrolysis is an Advanced Cosmetics Procedure that uses a surgical grade metal probe to deliver a small amount of electrical current: which uses heat (Diathermy) to remove/reduce a range of unwanted skin blemishes. Skin blemish removal anywhere on the body. Electrolysis has been around more than 100 years originally invented for Ingrown Eyelash treatment; it is safe and very effective.
It's a lot more precise than other methods like freezing because I can direct the current exactly to where I want it to be.
Trust the Process~
The procedure will cause the blemish to flatten, scab and heal over to normal skin colour ( in time). They will be pink initially while new skin is in place. The procedure is quick and effective.
Initially, the blemish site can look more prominent as it heals because of the scab that forms but using the correct aftercare provided this will speed up skin healing. It will then go pink while the new skin is present and fades into your "normal" skin colour over time.
Each blemish has a different healing process- all very similar however this will be discussed/provided prior to treatment.
What Skin Blemishes can be treated?
A range of Skin Blemishes can be treated with Advanced Electrolysis.
•Age spots •Milia •Sebaceous Hyperplasia •Sebaceous Cyst •Moles •Veruccas •Warts •Skin Tags •Spider Naevus •Seborrheic Keratosis •Blood Spots •Thread/Spider Veins •Xanthomas •Syringoma •Dermatosis Papulosa Nigra

Age Spots- are also known as liver spots, sun spots and simply ‘ Areas of Pigmentation’. They are dark discoloured patches of skin mainly caused by Ageing and Sun Exposure. They most commonly appear in areas most exposed to the sun- face, hands,shoulders and arms but can appear almost anywhere on the body.

Sebaceous Hyperplasia is where the Sebaceous glands produce too much oil. The oil then gets trapped under the skin and it causes bumps on the surface of the skin. They usually appear as a distinct doughnut-like shape. Most commonly they appear on the forehead and cheeks but as Sebaceous glands are all over the body they can appear anywhere.

Sebaceous Cysts are non cancerous, slow growing bumps under the skin. They are caused by a buildup of Keratin under the skins surface, within a sebaceous sac. They can appear anywhere on the body but predominantly appear on the scalp, face, ears, trunk, back and groin.

Seborrheic Keratosis are very common non-cancerous skin growth. They look waxy/scaly and are slightly raised. They come in all different shapes and sizes and may stand alone or be present in clusters. They are a range of different colours; skin-coloured, yellow, brown (all different shades),black and white.

Cherry Angiomas- known more commonly as Blood Spots / Campbell de Morgan spots. Are red ‘dome’ shaped bumps that come in different sizes. Cherry Angiomas can be found anywhere on the body but most commonly on your trunk. They can be related to ageing, sun exposure, genetics, hormones and some medications.

There are different types of Warts including flat warts (Plane), raised warts (Common), Filiform warts and Veruccas (Plantar warts). Warts are non-cancerous growths that occur from Human Papilloma Virus (HPV). Warts are contagious and are most commonly caught through skin contact/shared objects and communal settings.

Skin Tags are non-cancerous soft skin-coloured growths on the skin. Skin tags are produced when the body produces extra cells in the skins top layer. Skin tags are normally found in areas of ‘friction’ such as someones neck, groin,armpits and under breast area. They vary in quantity, with some being stand alone and others in large clusters.

Moles are very common skin blemishes. They can appear anywhere on the body and are of all different shapes, sizes and colours too! Moles are caused by a cluster of cells formed together called Melanocytes. Occasionally Moles can be a cause for concern for example if the Mole has; uneven edges, is multi-toned, painful, itchy, crusty, changing or any other specific concerns -this should always be discussed with a GP, I’m always happy to advise whether GP input is required.

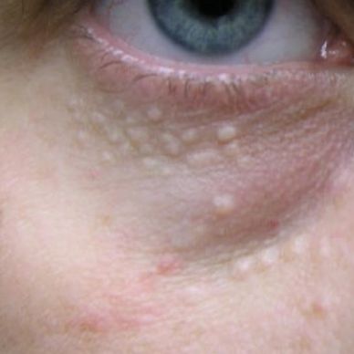
Milia are very common small white bumps (cysts) under the surface of the skin. They can also be known as Milk Spots and up to 50% of newborns are born with them.
Within adults Milia are dead skin cell-filled pockets under the surface of your skin. The most common location for Milia is on your face- around the eyes, cheeks and forehead. Milia can be present on their own or in clusters.

Xanthelasma/Xanthomas are yellowish fatty deposits under the skin which can form in various locations on the body. They are firm, raised and waxy looking.
The most common type are Xanthelasmas and they appear on the upper inner eyelid and under eyes. With Xanthomas appearing on the arms/ legs and trunk. They can sometimes be related to disorders such as high cholesterol, diabetes and thyroid problems however this is isnt always the case.

Syringomas are small, non cancerous bumps that form when sweat glands become overactive or simply due genetics. They are usually skin-coloured or yellow and are most commonly found around the eyes In clusters.

Thread veins also known as ‘Spider Veins’ or ‘ Telangiectasia’ are small blood vessels that are superficial and they have become dilated and visible.They are usually red, blue or purple and form a web-like pattern.

Verucca also known as a ‘Plantar Wart’ is a wart that specifically appears on the sole of the foot, caused by Human Papillomavirid (HPV). Verrucas are harmless but can be uncomfortable or painful. Verrucas are contagious and spread from person to person through direct contact.

Dermatosis Papulosa Nigra also known as DPN- is a benign skin condition categorised by small, dark,raised papules that typically appear on the face, neck, upper chest and back. DPN is more common in people with darker skin tones. DPN usually develop during adolescence or early adulthood, increasing in number and size over time.

A Spider Naevus also known as a ’Spider Angioma’ or ‘Nevus Araneus’ is a small red mark on the skin that looks like a spider due to its central red dot with tiny blood vessels travelling outwards resembling spider legs. A Spider Naevus is a cluster of dilated blood vessels near the skins surface often appearing on the face, neck, and upper chest area.
Vitamin injections are far more effective than tablets. This is because supplements are not as effectively absorbed by our bodies through ingestion compared to injections. Resulting in the level of Vitamin to rise much faster meaning results are normally quicker and much more effective.
All vitamins are administered Intramuscularly via the Deltoid or Gluteus muscle.

A daily must have with so many benefits!
Immunity boosting, aids healing, boosts collagen, combats fatigue-energy boosting, improved skin texture and appearance, antioxidant, boosts metabolism, helps maintain a healthy blood pressure,
Also known as Vitamin B7- is an essential nutrient needed daily. Healthier metabolism, increase energy& mood, aids healthy sweat glands, promotes collagen production, can improve acne/ excema and other skin conditions, Strengthens hair- promoting hair growth and reducing loss, promotes nail growth& strengthens nails, some report it can increase sex drive.
Most commonly known and for good reason too! The NHS will only offer B12 injections if levels are under their threshold however symptoms can arise with only the smallest amount of deficiency or no deficiency at all- B12 has so many wonderful benefits including- aids with anxiety and depression, improves sleep, boosts energy, improves brain power, combats fatigue, aids with metabolism, fights anaemia, keeps body’s nervous system and blood cells healthy.
Our BComplex Injections include 8 essential Vitamins: Vitamin B1 (Thiamine), Vitamin B2 (Riboflavin), Vitamin B3 (Niacin), Vitamin B4 ( Choline Inositol), Vitamin B5 (Pathothenic Acid), Vitamin B6 (Pyridoxine), Vitamin B7 (Biotin) and Vitamin B12 (Methylcobalamin).
These Vitamins work together to boost energy and reduce fatigue, support brain health and mood, promotes healthy skin, hair and nails, aids metabolism and weight loss, boosts immunity, improves nerve and heart health.
Also known as Collagen Induction Therapy
Single session. 60minutes.
Using CliniCare products.
Single Session. 60 minutes.
Using CliniCare products.
Single Session. 60 Minutes.
Using CliniCare products.
A course of 3 Microneedling sessions spaced 4-6 weekly apart.
Using CliniCare products.
A course of 3 Microneedling sessions spaced 4-6 weekly apart.
Using CliniCare products.
Advanced Blemish Removal Via Electrolysis
Prices start from £75
Prices start from £75
Prices start from £75
Prices start from £85
Prices start from £75
Prices start from £95
Prices start from £95
Prices start from £75
Single - £25
Course of 4- £90
Course of 6- £130
Single- £35
Course of 4- £125
Course of 6- £195
Single- £25
Course of 4- £90
Course of 6-£130
Single- £25
Course of 4- £90
Course of 6- £130
Ise Lodge, Kettering, North Northamptonshire, England, United Kingdom
Today | By Appointment |